Guter Preis  Online

Einzelheiten zu den Produkten

Created with Pixso. Haus Created with Pixso. Produits Created with Pixso.
Dentalbiomimetische Ästhetik
Created with Pixso. Zirkonia Zahnkrone Fallstudie ∙ Global Lab Outsourcing - Joydentalab

Zirkonia Zahnkrone Fallstudie ∙ Global Lab Outsourcing - Joydentalab

Markenbezeichnung: Joydenta
MOQ: Flexibel
Lieferzeit: 4 Werktage
Zahlungsbedingungen: T/T Paypal
Einzelheiten
neue Website:
www.joydenta-lab.com
neue Website:
https://joydenta-lab.com/de/
Verpackung Informationen:
Bubble Wrap mit Box
Versorgungsmaterial-Fähigkeit:
500 Fälle / Tag
Hervorheben:

Zirkonzahn-Prothesen mit natürlicher Optik

,

Zahnprothesen aus Zirkonoxid

,

Zirkonoxid-Zahnersatz

Produkt-Beschreibung

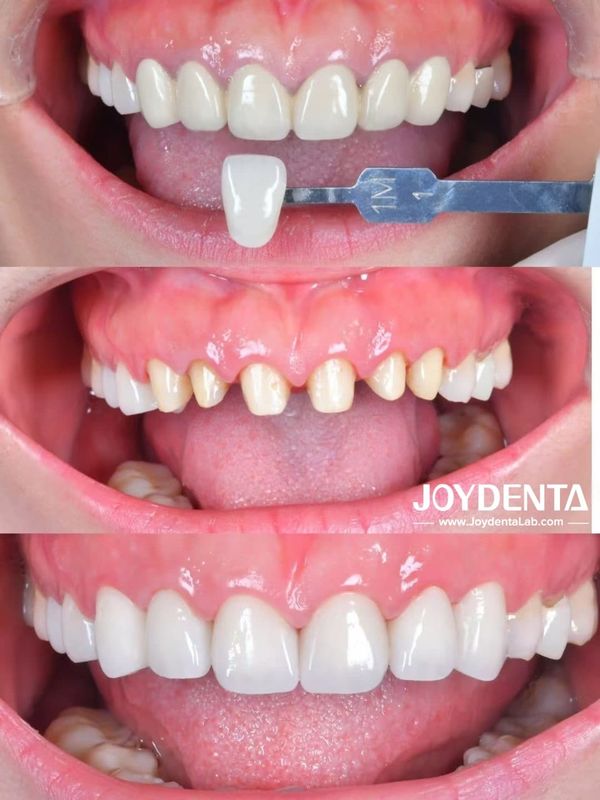
Zirkonien-Zahnkronen-Fallstudie Premium Global Outsourcing von Joydentalab

Dieser klinische Fall stellt eine sekundäre Restaurierung für einen Patienten dar, der zuvor vor vielen Jahren metall-keramische Kronen erhalten hatte.und ästhetisch fortschrittliche LösungDie Zahnarztklinik wählte dieZahnkrone aus ZirkoniaSystem hergestellt vonJOY Zahnlabor, und das Ergebnis ist ein klarer Schritt vorwärts, sowohl in der Präzision als auch in der ästhetischen Leistung.

Wie die Bilder zeigen, ist der Unterschied zwischen der alten Prothese und der neuen Zirkonia-Restauration erheblich.Zahnkrone aus Zirkonialiefert:

  • Verbesserte Farbgenauigkeit und Durchsichtigkeit

  • Eine raffinierte anatomische Form, die harmonisch mit den natürlichen Zähnen des Patienten harmoniert

  • Überlegene Langlebigkeit und Stabilität

  • Biokompatible Materialien für empfindliche Patienten

Die Zahnklinik und der Patient waren beide mit dem Ergebnis zufrieden.Zirkonium bleibt eines der vertrauenswürdigsten Materialien in der modernen Zahnheilkunde.


Warum sich weltweite Zahnärzte für JOY Dental Lab für Zirkonia-Restaurationen entscheiden

AlsPremium-Zahnlaborspezialisiert auf internationale Outsourcing,JOY ZahnlaborUnterstützung von Zahnlaboratorien in der gesamtenVereinigten Staaten, Australien und Vereinigtes Königreichmit hochpräzisen Zirkonia-Lösungen.

Zu unseren Vorteilen gehören:

  • Digitale Konstruktionskonsistenz durch fortschrittliche CAD/CAM-Arbeitsflüsse

  • hochfeste Mehrschichtzirkoniummaterialien

  • Stabile Bearbeitungszeiten für globale Kunden

  • Strenge Qualitätskontrolle zur Gewährleistung vorhersehbarer Ergebnisse

  • Berufliche Kommunikation für die Zusammenarbeit in Laboren auf langer Distanz

Egal, ob Sie ein Einheitsgehäuse benötigen, Zirkoniebrücken mit ganzem Bogen oder Implantat-gestützte Restaurationen, wir bieten zuverlässige Produktionsunterstützung, die auf globale zahnärztliche Labore zugeschnitten ist.


Partner mit einem vertrauenswürdigen globalen Outsourcing-Labor

Wenn Ihre Klinik oder Ihr Labor nach einem zuverlässigen Partner fürZahnkrone aus ZirkoniaHerstellung,JOY Zahnlabor Lieferung von Fertigungsgenauigkeit, natürlicher Ästhetik und ausgezeichnetem internationalen Service.

Wir begrüßen Zahnarztlabore weltweit, wenn sie mit hochwertiger Zirkonia-Fertigung zusammenarbeiten und ihre Wiederherstellungsresultate verbessern.

Guter Preis  Online

Einzelheiten Zu Den Produkten

Created with Pixso. Haus Created with Pixso. Produits Created with Pixso.
Dentalbiomimetische Ästhetik
Created with Pixso. Zirkonia Zahnkrone Fallstudie ∙ Global Lab Outsourcing - Joydentalab

Zirkonia Zahnkrone Fallstudie ∙ Global Lab Outsourcing - Joydentalab

Markenbezeichnung: Joydenta
MOQ: Flexibel
Verpackungsdetails: Bubble Wrap mit Box
Zahlungsbedingungen: T/T Paypal
Einzelheiten
Markenname:
Joydenta
neue Website:
www.joydenta-lab.com
neue Website:
https://joydenta-lab.com/de/
Min Bestellmenge:
Flexibel
Verpackung Informationen:
Bubble Wrap mit Box
Lieferzeit:
4 Werktage
Zahlungsbedingungen:
T/T Paypal
Versorgungsmaterial-Fähigkeit:
500 Fälle / Tag
Hervorheben:

Zirkonzahn-Prothesen mit natürlicher Optik

,

Zahnprothesen aus Zirkonoxid

,

Zirkonoxid-Zahnersatz

Produkt-Beschreibung

Zirkonien-Zahnkronen-Fallstudie Premium Global Outsourcing von Joydentalab

Dieser klinische Fall stellt eine sekundäre Restaurierung für einen Patienten dar, der zuvor vor vielen Jahren metall-keramische Kronen erhalten hatte.und ästhetisch fortschrittliche LösungDie Zahnarztklinik wählte dieZahnkrone aus ZirkoniaSystem hergestellt vonJOY Zahnlabor, und das Ergebnis ist ein klarer Schritt vorwärts, sowohl in der Präzision als auch in der ästhetischen Leistung.

Wie die Bilder zeigen, ist der Unterschied zwischen der alten Prothese und der neuen Zirkonia-Restauration erheblich.Zahnkrone aus Zirkonialiefert:

  • Verbesserte Farbgenauigkeit und Durchsichtigkeit

  • Eine raffinierte anatomische Form, die harmonisch mit den natürlichen Zähnen des Patienten harmoniert

  • Überlegene Langlebigkeit und Stabilität

  • Biokompatible Materialien für empfindliche Patienten

Die Zahnklinik und der Patient waren beide mit dem Ergebnis zufrieden.Zirkonium bleibt eines der vertrauenswürdigsten Materialien in der modernen Zahnheilkunde.


Warum sich weltweite Zahnärzte für JOY Dental Lab für Zirkonia-Restaurationen entscheiden

AlsPremium-Zahnlaborspezialisiert auf internationale Outsourcing,JOY ZahnlaborUnterstützung von Zahnlaboratorien in der gesamtenVereinigten Staaten, Australien und Vereinigtes Königreichmit hochpräzisen Zirkonia-Lösungen.

Zu unseren Vorteilen gehören:

  • Digitale Konstruktionskonsistenz durch fortschrittliche CAD/CAM-Arbeitsflüsse

  • hochfeste Mehrschichtzirkoniummaterialien

  • Stabile Bearbeitungszeiten für globale Kunden

  • Strenge Qualitätskontrolle zur Gewährleistung vorhersehbarer Ergebnisse

  • Berufliche Kommunikation für die Zusammenarbeit in Laboren auf langer Distanz

Egal, ob Sie ein Einheitsgehäuse benötigen, Zirkoniebrücken mit ganzem Bogen oder Implantat-gestützte Restaurationen, wir bieten zuverlässige Produktionsunterstützung, die auf globale zahnärztliche Labore zugeschnitten ist.


Partner mit einem vertrauenswürdigen globalen Outsourcing-Labor

Wenn Ihre Klinik oder Ihr Labor nach einem zuverlässigen Partner fürZahnkrone aus ZirkoniaHerstellung,JOY Zahnlabor Lieferung von Fertigungsgenauigkeit, natürlicher Ästhetik und ausgezeichnetem internationalen Service.

Wir begrüßen Zahnarztlabore weltweit, wenn sie mit hochwertiger Zirkonia-Fertigung zusammenarbeiten und ihre Wiederherstellungsresultate verbessern.